| |  | | | | | Procesul de albire dentara cu laser reprezinta cea mai inovativa metoda de estetica dentara, fiind non-invaziva asupra smaltului dentar.... detalii >>> | | | | |
| |  | | | | | Potrivit cercetarilor stiintifice, dar si cazuisticii medicale, energia luminii emise de laser stimuleaza regenerarea celulara, ajutand... detalii >>> | | | | |
| |  | | | | | Pana de curand, numai la auzul termenului chirurgie pacientii traiau o senzatie neplacuta, insa odata cu aparatia laserului... detalii >>> | | | | |
| |  | | | | | Tratamentul modern cu laserul dentar are efect si asupra gingiilor, inlaturand cu succes petele melaninice (de culoare inchisa),... detalii >>> | | | | |
| |  | | | | | Detartrajul laser reprezinta cea mai performanta procedura de igienizare profesionala, care actioneaza pe suprafetele dintilor, intre... detalii >>> | | | | |
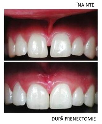
| |  | | | | | Frenectomia este o interventie chirurgicala prin care se sectioneaza/inlatura frenul (un tesut precum ata) care leaga buza... detalii >>> | | | | |
| |  | | | | | Procedura moderna de remodelare gingivala cu ajutorul laserului dentar se realizeaza foarte usor, fara durere, cu sangerare minima si cu... detalii >>> | | | | |
| |  | | | | | Azi, laserul dentar reprezinta cel mai inalt standard medical in stomatologie. Cu ajutorul acestuia se trateaza in cel mai scurt... detalii >>> | | | | |
| |  | | | | | Parodontoza este o infectie grava a gingiilor, care distruge tesutul moale si osul ce sustine dintii. Este afectiunea care conduce... detalii >>> | | | | |